Диагноз "миома матки" – это опасно? Зачастую такие образования не перерождаются в злокачественные. Однако, если своевременно не начать лечение, узел может увеличиться настолько, что станет сдавливать окружающие ткани и органы, есть риск сильных кровотечений. В запущенных случаях проблема миомы матки решают малые гинекологические операции. Поэтому, необходимо регулярно проходить обследования, особенно при любом дискомфорте в малом тазу, и обращаться к врачу.
Миома матки – что это такое
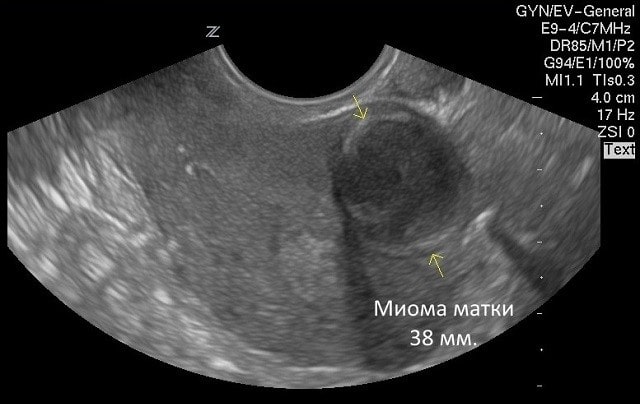
Миома матки – это образование доброкачественное, сформированное из двух типов ткани: из соединительной – фибромиома, из мышечной – лейомиома. Это может быть маленький едва заметный узел или такой большой, что кажется, будто женщина беременна. Если образование маленькое и не доставляет беспокойств, оно случайно обнаруживается при плановом УЗИ.

Виды миом
Миомы матки различаются по направлению роста:
- Подбрюшинная – направлена в сторону брюшной полости через подсерозную оболочку.
- Подслизистая – в сторону полости матки.
- Внутристеночная – находится в толще мышечного слоя матки.
- Шеечная – расположенная в шейке матки.
Также миомы матки бывают межсвязочными и паразитарными. УЗИ или другие виды диагностики помогают определить место расположения узлов и направление роста.

Миома может быть одиночной или множественной в зависимости от количества узлов. Различают три стадии миомы матки:
- I – узлы прорастают в миометрий, – средний мышечный слой тканей, менее, чем наполовину.
- II – узлы прорастают в миометрий более, чем наполовину.
- III – узел срастается со слизистой, миометрий между ними отсутствует.
Как проявляется миома матки
Симптомы:
- Непривычно обильные выделения во время менструации – это главное проявление.
- Анемия, слабость, пониженное давление, вызванные кровопотерей.
- Боль внизу живота, которая ощущается одновременно в паху и в пояснице. Во время месячных боль усиливается, становится схваткообразной.
- Запоры, частые позывы к мочеиспусканию из-за того, что миома прорастает в сторону выделительных органов, занимает много места и сдавливает мочевой пузырь, уменьшает пространство в кишечнике.
- Беременность не наступает.

Причины
Точно причина образования миомы матки неизвестна. Есть факторы, которые связывают с ее появлением. Миомы зачастую возникают при дисбалансе женских гормонов. Когда прогестерона вырабатывается меньше, то эстрогенов в соотношении становится больше. Эстрогены провоцируют рост клеток. Миомы появляются из-за таких факторов:
- Продолжительные воспаления женской мочеполовой системы.
- Отсутствие месячных на протяжении нескольких месяцев.
- Прерывание беременности или выкидыш.
- Системные заболевания – диабет, лишний вес, гипертония, нарушения в работе надпочечников, щитовидной железы.
- Наследственность – если миома была у бабушки и у мамы, риск повышается.
- Частые и продолжительные стрессы, депрессии ухудшают работу всех органов и систем организма.
- Прием некоторых лекарств.
- Раннее половое созревание и поздний репродуктивный период.

Диагностировать миому может только врач. Он выяснит симптоматику, осмотрит женщину, проведет УЗИ или другие процедуры, при необходимости назначит анализы. Затем он подберет подходящее лечение.
EN - DE - ES - IT - PT - FR - BG - HU - EL - DA - ID - ZH - LV - LT - NL - PL - RO - SK - SL - TR - UK - FI - CS - SV - ET - JA - RU
