Адгезивні системи в стоматології - це спеціальні склади, які допомагають зубним пломбам та іншим матеріалам міцно прикріплятися до зубів. Це важливо, щоб пломби не випадали і служили довго. Спеціалісти із KIEV DENT розповіли нам про види адгезивних пломб та їх застосування.

Види адгезивних стоматологічних систем
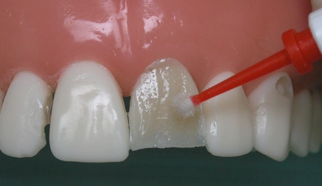
Адгезивні системи схожі на супер-клей, тільки для зубів. Вони створюють міцний зв'язок між зубною поверхнею і пломбою. Ці системи складаються з декількох компонентів, які працюють разом, щоб забезпечити надійне прикріплення. Існує кілька видів адгезивних систем, які розрізняються за способом застосування і складом:
- Емаль-дентинні адгезиви використовують для прикріплення пломб до емалі та дентину зуба. Вони добре працюють як із твердими, так і з м'якими тканинами зуба.
- Самоадгезивні системи не потребують попередньої обробки зуба. Вони простіші у використанні та економлять час стоматолога.
- Системи з гравіюванням і промиванням потребують попередньої обробки зубної поверхні спеціальними кислотами і промивання водою перед нанесенням адгезиву.
- Адгезивні системи із самопротруюванням уже містять компоненти, які протруюють зубну поверхню, спрощуючи процес і скорочуючи кількість кроків.

Будь-які адгезивні системи роблять стоматологічне лікування більш ефективним і довговічним. Вони забезпечують міцне кріплення пломб та інших матеріалів. Адгезиви дають стійкість до жувального навантаження, довговічність реставрацій.
Застосування адгезивних систем у стоматології
Адгезивні системи найчастіше застосовують для пломбування зубів. Адгезиви допомагають пломбам міцно триматися на зубах, запобігаючи їхньому випадінню і продовжуючи термін служби.

Як ще застосовують адгезивні системи в стоматології:
- Встановлення вінірів - тонких пластинок, які прикріплюють до передньої поверхні зубів для поліпшення їхнього зовнішнього вигляду. Адгезиви забезпечують надійне кріплення вінірів.
- Закріплення коронок і мостів. Адгезивні системи допомагають фіксувати коронки і мости на зубах, роблячи їх стійкими до жувального навантаження.
- Ремонт зубів після травм. Якщо зуб пошкоджений, адгезиви допомагають відновити його форму і функцію за допомогою спеціальних реставраційних матеріалів.
Адгезивні системи в стоматології вважаються безпечними за правильного використання. Більшість із них виготовляється з біосумісних матеріалів, які проходять суворі випробування на безпеку та ефективність. Це означає, що вони не викликають алергії та не чинять шкідливого впливу на організм. Дослідження показали, що адгезивні системи виділяють мінімальну кількість шкідливих речовин. У разі правильного застосування кількість речовин, що виділяються, не становить небезпеки для здоров'я.

Хоча ймовірність алергії на адгезивні системи низька, у деяких людей може виникнути індивідуальна непереносимість компонентів. У таких випадках стоматолог може підібрати інший матеріал або використовувати спеціальні гіпоалергенні системи. Досвідчений фахівець точно дотримується всіх інструкцій із застосування, що мінімізує ризик можливих ускладнень.
EN - DE - ES - IT - PT - FR - BG - HU - EL - DA - ID - ZH - LV - LT - NL - PL - RO - SK - SL - TR - FI - CS - SV - ET - JA - KO - NB - AR - UK
