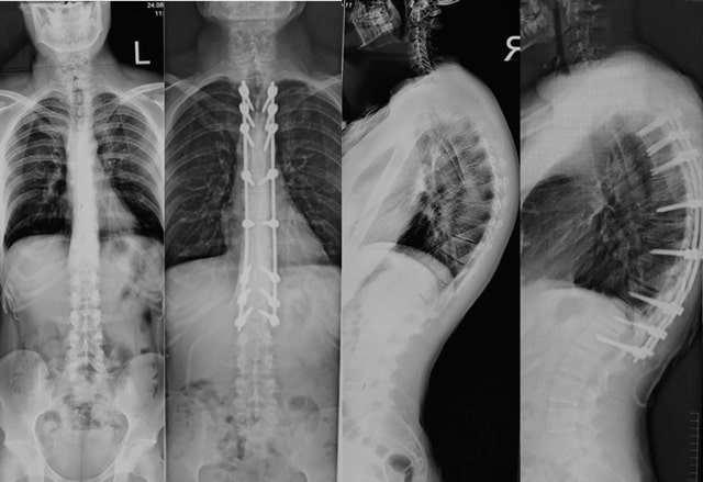
Юнацький кіфоз Шейермана, або просто «кіфоз», - це положення хребта, за якого верхня частина спини вигнута вперед більше, ніж зазвичай. Найчастіше це відбувається в підлітковому віці й може бути зумовлено кількома факторами. Лікар-нейрохірург Миц Костянтин Богданович (офіційний сайт - https://neirohirurg.com.ua/) розповів нам про особливості кіфозу, чому він виникає і чим він небезпечний.

Особливості юнацького кіфозу Шейермана
Кіфоз у юних людей може бути пов'язаний із генетичними схильностями. Іноді діти успадковують схильність до цього стану від своїх батьків або більш далеких поколінь.

Інші причини кіфозу:
- Погана постава. Постійне сидіння або стояння в неправильній позі може призвести до дисбалансу м'язів спини та шиї. Це сприяє розвитку кіфозу.
- Неправильна сидяча або стояча поза. Тривалий час, проведений у викривленій, зігнутій позі, особливо за комп'ютером або столом, може посилити кіфоз.
- Незбалансована мускулатура спини. Ослаблення м'язів спини або їх нерівномірний розвиток можуть сприяти неправильному формуванню хребта.
- Піднімання важких предметів без правильної техніки. Неправильні рухи під час підйому важких предметів можуть навантажувати хребет і сприяти розвитку кіфозу.
- Швидке зростання в період підліткового віку. Це може тимчасово створювати дисбаланс у розвитку м'язів і кісток, впливаючи на вирівнювання хребта. Коли дитина соромиться свого вищого зросту, ніж у однокласників, вона може згинатися у верхній частині спини, щоб здаватися нижчою.
- Травми або пошкодження хребта. Особливо коли вони відбуваються в період росту та розвитку, можуть впливати на структуру хребетного стовпа.
- Рідкісні медичні стани, такі як хвороби сполучної тканини. Деякі генетичні схильності та захворювання можуть впливати на розвиток кісток і хрящів, що може сприяти кіфозу.
- Нестача фізичної активності або занять спортом. Відсутність регулярного руху може призводити до ослаблення м'язів спини.
- Вроджені аномалії розвитку хребта. Деякі діти можуть народитися з аномаліями в розвитку хребта. Це може впливати на його форму і структуру.

Стрес і психологічні чинники можуть впливати на розвиток кіфозу. Тривале напруження часто призводить до скорочення м'язів спини. У деяких людей стрес може викликати скуті пози, напругу в хребті. Депресія або тривожність можуть також впливати на позу і фізичну активність, що в кінцевому підсумку може сприяти розвитку кіфозу.
Чим небезпечний кіфоз Шейермана
Кіфоз спричиняє біль у спині. У серйозних випадках це може призвести до проблем із диханням або навіть пошкоджень внутрішніх органів через тиск на них. У дитячому віці хребет може деформуватися так, що вирівняти його буде складно або неможливо.

Інші наслідки кіфозу:
- Обмеження рухів. Можливе обмеження рухливості хребта через деформацію, що може ускладнити повороти та нахили.
- Психологічні проблеми. Болі та обмеження через кіфоз можуть спричиняти стрес і тривогу, що впливає на якість життя.
- У рідкісних випадках кіфоз може призвести до здавлювання спинного мозку або нервових корінців, що вимагає медичного втручання.

Юнацький кіфоз зазвичай можна виправити за допомогою вправ, фізичної терапії або корекції постави. У деяких випадках потрібне медичне втручання, особливо якщо кіфоз спричиняє біль або обмежує рух. Це може визначити тільки лікар.
EN - DE - ES - IT - PT - FR - BG - HU - EL - DA - ID - ZH - LV - LT - NL - PL - RO - SK - SL - TR - FI - CS - SV - ET - JA - KO - NB - AR - UK
